Tinciones Histológicas: Revelando la Arquitectura Microscópica
En este apartado, exploraremos las principales técnicas de tinción utilizadas en histología para contrastar y visualizar los componentes celulares y tisulares, haciéndolos accesibles al estudio microscópico.
Tinciones rutinarias

Hematoxilina y Eosina (H&E)
-
Descripción: Es la tinción más utilizada en histología. La hematoxilina es un colorante básico que tiñe los componentes ácidos (como el ADN y el ARN del núcleo, ribosomas) de color azul o morado. La eosina es un colorante ácido que tiñe los componentes básicos (como las proteínas del citoplasma y las fibras de colágeno) de color rosa o rojo.
-
Componentes Teñidos: Núcleos celulares (azul/morado), citoplasma (rosa), fibras de colágeno (rosa), eritrocitos (rojo).
-
Aplicaciones: Visualización general de la morfología celular y tisular, identificación de la mayoría de los tipos de células y tejidos, detección de cambios patológicos.
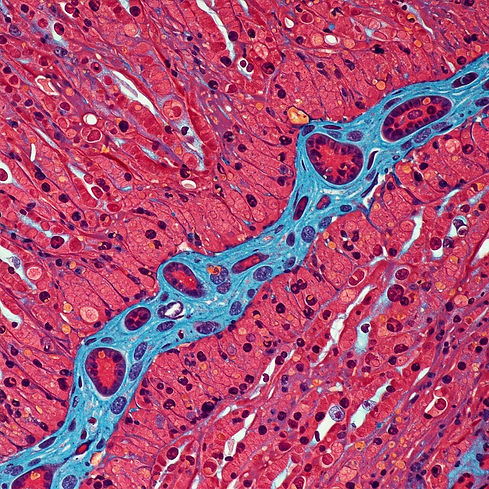
Tricrómico de Masson
-
Descripción: Utiliza tres colorantes para diferenciar el colágeno de otros componentes tisulares. Existen varias variantes, pero generalmente incluyen un colorante nuclear (como hematoxilina o Weigert), un colorante citoplasmático (como fucsina ácida o rojo Ponceau) y un colorante para el colágeno (como azul de anilina o verde luz).
-
Componentes Teñidos (ejemplo con azul de anilina): Núcleos (negro/azul oscuro), citoplasma, músculo y eritrocitos (rojo), colágeno (azul).
-
Aplicaciones: Estudio del tejido conectivo, fibrosis, diferenciación entre músculo y colágeno.


Tinción de PAS (Ácido Periódico de Schiff):
-
Descripción: Tiñe carbohidratos, glucoproteínas, glucolípidos y mucosustancias mediante la oxidación de los grupos glicol con ácido peryódico, generando aldehídos que reaccionan con el reactivo de Schiff para producir un color magenta.
-
Componentes Teñidos: Glucógeno, membranas basales, mucosustancias, glucoproteínas.
-
Aplicaciones: Visualización de membranas basales, identificación de glucógeno en el hígado y músculo, detección de hongos, estudio de secreciones mucosas.
Tinción de Giemsa
-
Descripción: Es una tinción diferencial utilizada principalmente en citología sanguínea y para la detección de parásitos. Es una mezcla de azul de metileno, eosina y azur B.
-
Componentes Teñidos: Núcleos de leucocitos (morado), citoplasma de leucocitos (azul pálido a rosa), eritrocitos (rosa), plaquetas (azul pálido), parásitos (varían según la especie).
-
Aplicaciones: Análisis de frotis sanguíneos, médula ósea, detección de parásitos en sangre y tejidos.


Tinción de Wright
-
Descripción: Similar a la tinción de Giemsa, también utilizada para el estudio de células sanguíneas.
-
Componentes Teñidos: Similar a Giemsa, con ligeras variaciones en la intensidad de los colores.
-
Aplicaciones: Análisis de frotis sanguíneos y médula ósea.
Tinciones para Tejido Nervioso
-
Tinción de Nissl: Tiñe el retículo endoplasmático rugoso (corpúsculos de Nissl) de las neuronas, resaltando el citoplasma y los núcleos.
-
-
Impregnación Argéntica de Golgi: Tiñe selectivamente algunas neuronas completas, incluyendo sus axones y dendritas, permitiendo el estudio de su morfología.
-
-
Tinción de Mielina (Luxol Fast Blue): Tiñe las vainas de mielina de las fibras nerviosas de color azul.


Tinciones para fibras
-
Tinción de Van Gieson: Tiñe el colágeno de rojo y otras estructuras de amarillo o marrón.
-
Tinción de Fibras Elásticas (Orceína o Resorcina-Fucsina): Tiñe las fibras elásticas de color marrón oscuro o negro.
-
Tinción de Fibras Reticulares (Impregnación Argéntica): Tiñe las fibras reticulares de color negro.
Tinciones para Lipidos
Sudán III y Sudán IV:
-
Descripción: Estos son colorantes azoicos liposolubles. El Sudán III tiñe los lípidos de color naranja-rojo, mientras que el Sudán IV (también conocido como Rojo Escarlata) los tiñe de un rojo más intenso. La intensidad del color puede variar según el tipo de lípido.
-
Componentes Teñidos: Lípidos neutros (triglicéridos), grasas. Algunos lípidos complejos pueden teñirse con menor intensidad o no teñirse.
-
Aplicaciones: Demostración general de la presencia de lípidos, visualización de gotas de grasa en células (como adipocitos o en procesos de esteatosis hepática), identificación de lípidos en lesiones ateroscleróticas.
Negro Sudán:
-
Descripción: Este es otro colorante liposoluble que proporciona una tinción más intensa y general de los lípidos, tiñéndolos de color negro o azul-negro. Es menos selectivo que los Sudanes rojos y puede teñir una gama más amplia de lípidos, incluyendo fosfolípidos y esteroles.
-
Componentes Teñidos: Lípidos neutros, fosfolípidos, esteroles y otras grasas.
-
Aplicaciones: Demostración general de la presencia de lípidos, visualización de mielina (rica en lípidos) en cortes de tejido nervioso congelado (aunque el Luxol Fast Blue es preferible para tejido incluido en parafina). También útil para identificar lípidos en diversas condiciones patológicas.


Tinciones para pigmentos
Tinción de Perls (Azul de Prusia):
-
Descripción: Esta es una reacción histoquímica específica para la detección de hierro férrico (Fe³⁺), que se encuentra en la hemosiderina (un pigmento resultante de la degradación de la hemoglobina). El tejido se trata con una solución ácida de ferrocianuro potásico, que reacciona con el hierro férrico para formar ferrocianuro férrico, un compuesto insoluble de color azul intenso (azul de Prusia).
-
Componentes Teñidos: Hierro férrico (azul).
-
Aplicaciones: Identificación de hemosiderina en diversas condiciones, como hemorragias, hemocromatosis (sobrecarga de hierro) y hemosiderosis (depósito de hemosiderina).
Tinción de Fontana-Masson:
-
Descripción: Esta tinción argéntica se utiliza para la detección de melanina, el pigmento marrón-negro producido por los melanocitos. La melanina tiene la capacidad de reducir las sales de plata a plata metálica, que aparece de color negro.
-
Componentes Teñidos: Melanina (negro). También puede teñir otros componentes argirofílicos, como gránulos neurosecretores.
-
Aplicaciones: Identificación de melanocitos en la piel y otras localizaciones, estudio de tumores melanocíticos (nevus y melanomas), visualización de la distribución de la melanina en diferentes condiciones.